眉下切開手術は眉の下の皮膚を切開することで瞼にかかった余剰皮膚を軽減します。
瞳の大きさに変化は出ませんが、被った皮膚が減るので見かけ上の瞳は大きくなります。
結果、眼の重みの軽減、視野も広がり、額を使わなくても眼を開けやすくなります。
特に瞼の皮膚が厚い方にお勧めの手術です。
この手術の利点は、仕上がりが自然である事です。
被った皮膚が軽くなることで昔の瞼に戻るような(と言っても10年くらい!あまり過度な期待はしないでくださいね。)イメージです。
注意点としてもともと一重か二重かで仕上がりに少し差が出ます。
元々二重であれば余剰皮膚を減らすことで、昔の二重が出てきて、比較的はっきりしますが一重の方は大きく変わらないことがあります。
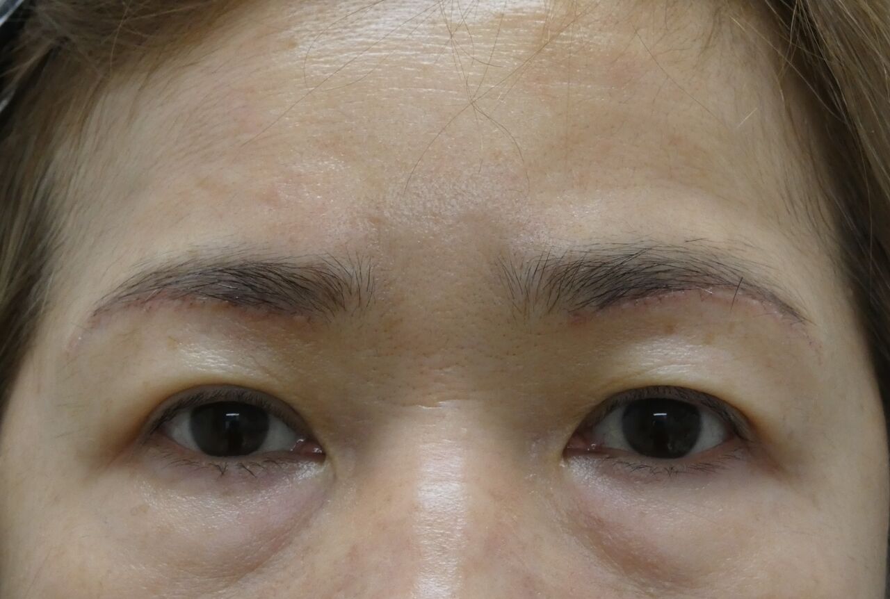
まずは一重の方から。70代女性です。
術前

術後1週目抜糸時

右はわずかな奥二重に見えますが基本的にはしっかりした二重ではありません。
このため、睫毛部には余剰皮膚が残ります。これが一重の方の眉下切開後の経過です。
もちろん切開していますので変化が無いわけではありません。こうして術前術後のお写真を並べると違いがお分かりいただけると思います。
この様に大きな変化ではありませんから自然な仕上がりをご希望なら良い術式ですし、たるみが強い場合はまず眉下切開をしてから睫毛上で切開して二重を作成することもあります。
次に二重の患者様です。
術前 60代女性

術後1週目 抜糸時

昔の二重瞼が出てきました。
しっかりとした二重なので術後の変化がわかりやすいです。
額の皴も、眼の重みも改善しています。
お二人とも術後約1週目の抜糸時のお写真です。
術後の傷は今後かなり目立たなくなります。
眉下切開
保険診療の場合の手術の料金
片眼 1割負担 6,070円 3割負担 18,210円
両眼 1割負担 12,140円 3割負担 36,420円
眉下切開リスク
内出血、腫れ、縫合不全、ケロイドなどの傷跡、感染、左右非対称、上眼瞼の引きつれ
額の下がりに伴う眉根部の横皴、眉と眼の距離短縮に伴う顔貌の変化
副院長が担当いたします。診療時間内にご予約をお願いいたします。
お写真のご提供ありがとうございました。
インスタグラムはこちらです。ぜひ覗いてくださいね。

瞳の大きさに変化は出ませんが、被った皮膚が減るので見かけ上の瞳は大きくなります。
結果、眼の重みの軽減、視野も広がり、額を使わなくても眼を開けやすくなります。
特に瞼の皮膚が厚い方にお勧めの手術です。
この手術の利点は、仕上がりが自然である事です。
被った皮膚が軽くなることで昔の瞼に戻るような(と言っても10年くらい!あまり過度な期待はしないでくださいね。)イメージです。
注意点としてもともと一重か二重かで仕上がりに少し差が出ます。
元々二重であれば余剰皮膚を減らすことで、昔の二重が出てきて、比較的はっきりしますが一重の方は大きく変わらないことがあります。
まずは一重の方から。70代女性です。
術前

術後1週目抜糸時

右はわずかな奥二重に見えますが基本的にはしっかりした二重ではありません。
このため、睫毛部には余剰皮膚が残ります。これが一重の方の眉下切開後の経過です。
もちろん切開していますので変化が無いわけではありません。こうして術前術後のお写真を並べると違いがお分かりいただけると思います。
この様に大きな変化ではありませんから自然な仕上がりをご希望なら良い術式ですし、たるみが強い場合はまず眉下切開をしてから睫毛上で切開して二重を作成することもあります。
次に二重の患者様です。
術前 60代女性

術後1週目 抜糸時

昔の二重瞼が出てきました。
しっかりとした二重なので術後の変化がわかりやすいです。
額の皴も、眼の重みも改善しています。
お二人とも術後約1週目の抜糸時のお写真です。
術後の傷は今後かなり目立たなくなります。
眉下切開
保険診療の場合の手術の料金
片眼 1割負担 6,070円 3割負担 18,210円
両眼 1割負担 12,140円 3割負担 36,420円
眉下切開リスク
内出血、腫れ、縫合不全、ケロイドなどの傷跡、感染、左右非対称、上眼瞼の引きつれ
額の下がりに伴う眉根部の横皴、眉と眼の距離短縮に伴う顔貌の変化
副院長が担当いたします。診療時間内にご予約をお願いいたします。
お写真のご提供ありがとうございました。
インスタグラムはこちらです。ぜひ覗いてくださいね。

