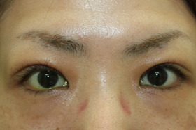
こちらは40代女性。瞼が重くなってきたことを主訴に受診されました。
瞼を切開しないことがご希望だったため経結膜切開を選択、さらに皮膚のたるみは埋没法による二重瞼の手術を行いました。
術前

術直後

翌日

全体的に少し腫れていますが、お痛み異物感などは殆どありません。
術2週後


術3週後

経過良好です。とても気に入ってくださいました。
瞼を切開しなくてもたるみが軽度の場合は二重瞼を作成することで十分だと思います。
今回の様に同時に二重瞼作成の場合は自費手術になります。
手術のリスク
術後の異物感、瞼の腫れ、内出血、後戻り、シスト形成、縫合部の炎症、二重瞼の左右差、
お写真のご提供心よりお礼申し上げます。