こちらは、皮膚を切開しないで、瞼の裏側からのアプローチ方法です。
泣いただけでも腫れてしまう瞼にメスを入れるということは、相当腫れることをことを覚悟しなくてはなりません。
どのくらい腫れるかは個人差がありますし、どんな名医がやったにしても麻酔の針が血管にあたり術後内出血することだってあります。
ですのでこの瞼の裏側から手術は、ダウンタイムが圧倒的に少ないというメリットがあります。
今日はその施術例をご覧ください。
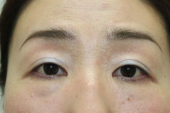
術前
左目(向かって右が下がっています。)今回は左眼のみ手術をいたしました。

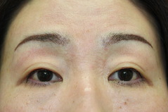
術直後

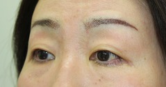
短い手術時間で皮膚を切らずにここまで改善していますし、翌日もほとんど腫れることはありませんでした。
ご主人様から「ずいぶん可愛くなったなあ」と言われたと笑いながらおっしゃられていました。
とても患者さんに喜んで頂けたのはこのお写真を見て頂けますと一目瞭然だと思いますが、やはり適応やメリットデメリットがあります。
主に眼の内側からのアプローチですから、眼への影響が出る方がいます。
当院は眼科ですので、術前術後、眼へのフォローを合わせてすることができます。
年齢とともに誰でも下がる瞼ですが、瞳孔にかかってしまいますと額の筋肉を使ってあげようとします。
するとその緊張は眼精疲労の原因になり額や眉間に深いしわを作ります。
もちろん、ドライアイや緑内障が隠れている可能性もあります。
瞼が下がってつかれる、そんな症状が気になる方はご気軽に相談ください。
副院長が担当しておりますので来院前にクリニックまでお問い合わせください。
03-6424-8321
----------------------------------------------------------------------------------------------------------
春の新しいバックが完成しました。
もちろん、刺繍作家森れいこ先生のセンスです。
「春のお出かけバック」はその名の通り持つだけでウキウキできそうです。

完成♥













